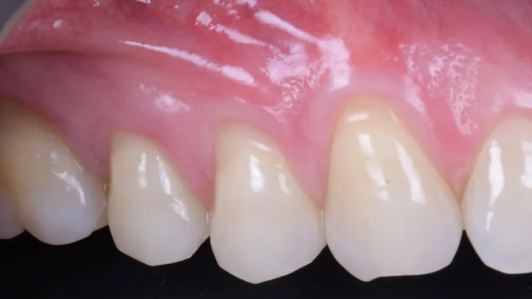
Smile Gallery: teeth before after
Real Before & After Transformations
Our Smile Gallery showcases authentic teeth before after results created by dentists who follow structured clinical methods and continuous education.
Enhanced Treatment Clarity
Clear explanations help you understand each teeth before after result and evaluate treatment steps confidently.
Natural-Looking Results
Transformations show balanced outcomes that respect tooth shape, harmony, and long-term function.
Discover now the Doc Locator platform.
Find trusted dentists through validated profiles, clear information, and a simple search designed to guide your dental choices with confidence.
Consistent Clinical Methods
Every teeth before after case reflects structured decision-making, shared principles, and careful planning followed by Style Italiano Family dentists.
Transparent Case Evaluation
Each transformation includes essential details that help patients understand how treatments evolve from diagnosis to final results.
Reliable Aesthetic Outcomes
The gallery demonstrates predictable, natural improvements achieved through precise techniques and continuous clinical development within the Style Italiano Family network.
Smile Gallery – Real Before & After Transformations
Our Smile Gallery showcases authentic teeth before after results created by dentists who follow structured clinical methods and continuous education. Each transformation reflects a careful approach focused on clarity, precision, and patient-centered planning. Viewing teeth before after cases helps you understand how different treatments can restore shape, harmony, and function while maintaining a natural appearance. Every result featured here is the outcome of a clear diagnostic process and responsible treatment decisions. Explore how selected procedures improve both comfort and aesthetics, offering a reliable reference when evaluating your own options. These teeth before after examples demonstrate consistent, methodical dentistry supported by shared clinical principles.


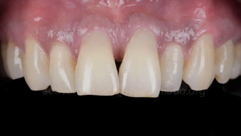
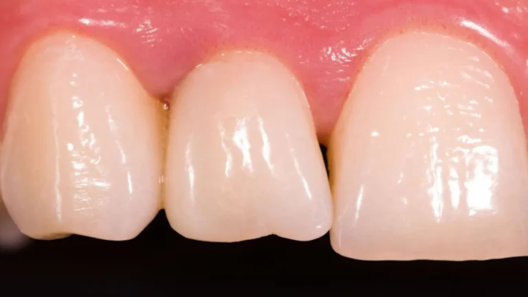
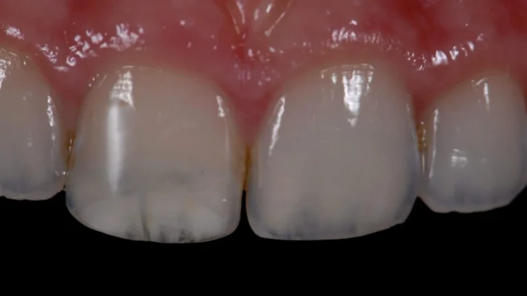
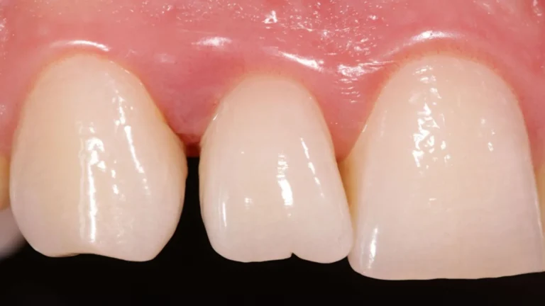
Diastema Closing using the Front Wing technique with a single opacity composite
By Paulo Monteiro
This clinical case showcases a predictable diastema closure using the Front Wing technique, demonstrating natural morphology, controlled anatomy, and seamless integration. The approach highlights precise composite handling and minimally invasive restorative principles for highly aesthetic, harmonious results.

This clinical case demonstrates a simplified, predictable workflow for Class V restorations using modern flowable composites with enhanced strength, polishability, and optical integration. The approach focuses on durability, comfort, and natural blending in challenging cervical areas.
Discover how an aesthetic dentist refines shape, brightness, and harmony through responsible techniques such as bonding, veneers, aesthetic fillings, and whitening. This page guides you with clear explanations and showcases how structured planning leads to natural, long-lasting improvements tailored to your smile.

Learn how a root canal treatment preserves natural teeth by removing infection, restoring comfort, and protecting long-term function. This page explains symptoms, procedures, and benefits, helping you understand when endodontic care is needed and how certified professionals ensure precise, reliable treatment.


Simplified Esthetic Rehabilitation in Agenesis Cases: A Predictable Composite Workflow
By Jordi Manauta
This case demonstrates a conservative aesthetic rehabilitation for agenesis using direct composite veneers. Through precise layering, shade adaptation, and morphological reshaping, the workflow achieved natural proportions, lifelike color integration, and a predictable improvement in anterior harmony.

This case presents a minimally invasive smile makeover using lithium disilicate veneers combined with bleaching. Through precise planning, mock-up–guided preparation, and controlled adhesive protocols, the treatment achieves balanced proportions, enhanced brightness, and long-lasting aesthetic harmony.

This case illustrates how refining old composite restorations through selective removal, controlled layering, and detailed surface characterization can restore natural vitality, enhance light reflection, and recreate harmonious smile balance with a conservative, minimally invasive approach.
Results by Style Italiano Family Certified Dentists
The transformations in this gallery highlight the work of certified professionals who follow the clinical guidelines and learning pathways of the Style Italiano Family. Each teeth before after case reflects a combination of technical preparation and methodical decision-making. Certified dentists engage in continuous training, supporting consistent outcomes that patients can evaluate clearly and confidently. By observing these results, you can better understand how different treatments address specific needs while maintaining a natural, balanced final appearance. Whether improving symmetry, restoring function, or refining details, these teeth before after examples show the value of choosing a dentist committed to structured and responsible care.


We’ve created a powerful web, a dynamic space where dental professionals exchange ideas, share insights and foster a sense of community. This network goes beyond geographical boundaries, for a diverse range of expertise.

We are at the forefront of dental science, providing a platform that empowers dentists with the latest advancements in the field. Our commitment to scientific rigor ensures that you receive the highest standard of care.

Style Italiano Family facilitates meaningful connections among colleagues in an environment where professionals can learn from each other, share experiences, and collectively elevate the standards of dental care.

This case highlights a simplified single-shade workflow for diastema closure using the Front Wing technique. Through mock-up guidance, precise handling, and controlled finishing, the approach delivers natural integration, predictable contours, and efficient everyday restorative results.

This case demonstrates a predictable diastema closure achieved through careful isolation, controlled bonding, and precise composite layering. Using a rubber dam for optimal access and moisture control, the workflow ensures clean margins, natural morphology, and a stable, aesthetic final result.

Class V restorations. A non-surgical simplified approach to improve the gingiva level
By Community
This case presents a non-surgical approach for managing Class V lesions using controlled cervical preparation, precise adhesion, and layered composite application. The workflow enhances gingival levels, reduces sensitivity, and restores natural harmony while respecting patient preferences and avoiding periodontal surgery.
Find a Dentist for Your Smile Makeover
If you are considering a smile makeover, exploring teeth before after examples can guide your expectations and help you identify the right approach for your needs. With the Style Italiano Family Doc Locator, you can find a certified dentist who follows shared clinical principles and prioritizes transparent communication. Each professional provides a structured evaluation to help you understand treatment options clearly and realistically. Reviewing teeth before after transformations offers insight into achievable outcomes and supports more informed discussions during your consultation. Start your journey by choosing a dentist who values preparation, clarity, and responsible planning for every aesthetic improvement.
Dental Veneers Before and After
Dental veneers can help refine tooth shape, brightness, and harmony. In this gallery, you will find teeth before after cases that demonstrate how veneers are used to create balanced, natural-looking improvements. Each transformation results from a structured diagnostic process, ensuring that the final appearance respects facial proportions and functional needs. By reviewing these teeth before after images, you can see how veneers address discoloration, slight misalignments, or worn edges with precision. Certified dentists within the Style Italiano Family follow a methodical approach that prioritizes clarity, communication, and realistic planning. These examples offer a reliable reference for understanding the potential of veneers.

This case outlines a streamlined protocol for Class V restorations using advanced flowable composites and universal adhesives. Through controlled adhesion, minimal intervention, and efficient polishing, the workflow achieves natural integration, reduced sensitivity, and reliable long-term cervical stability.

When Digital Dentistry Solves the Zirconia Puzzle: Clinical Strategies for Reliable Restorations
By Community
This case highlights a fully digital rehabilitation using zirconia restorations enhanced with advanced surface conditioning. Through guided surgery, precise CAD/CAM workflows, and innovative adhesion strategies, the treatment achieved durable function, high esthetics, and predictable long-term stability.

This case presents a predictable bonding workflow for indirect ceramic veneers, emphasizing meticulous surface treatment, precise isolation, and controlled adhesive protocols. The sequence ensures stable adhesion, improved shade integration, and long-term aesthetic reliability across complex anterior rehabilitations.
Find the closest dentist to you!
What treatments can Style Italiano Family dentists provide?
What treatments can Style Italiano Family dentists provide?
Dentists within Style Italiano Family offer a wide range of treatments, including aesthetic procedures, restorative care, and endodontics. Their shared approach prioritizes clarity, responsible planning, and natural outcomes. This ensures patients receive treatments based on structured reasoning rather than trends, always focused on long-term oral balance and health.
How does Style Italiano Family ensure quality in its network?
How does Style Italiano Family ensure quality in its network?
Quality is maintained through continuous training, shared guidelines, and validated membership. A Style Italiano Family professional engages in ongoing development and follows structured clinical standards. This ensures that each dentist delivers reliable, consistent care supported by evidence-based principles that help patients feel confident in their choice.
Why is continuous learning important for dentists?
Why is continuous learning important for dentists?
Continuous learning ensures Style Italiano Family dentists remain aligned with evolving research and updated methods. This commitment strengthens diagnostic accuracy, improves technique, and supports responsible decision-making. For patients, it means receiving care from professionals who value preparation, clarity, and long-term oral health rather than static, outdated approaches.
Can Style Italiano Family help me understand my treatment options?
Can Style Italiano help me understand my treatment options?
Yes. The Style Italiano Family approach is built on clarity and transparent communication. Through certified dentists and educational resources, patients receive clear explanations of treatment options, expected outcomes, and clinical reasoning. This helps individuals make informed choices and feel confident throughout their dental care journey.
How does Style Italiano Family help patients choose a dentist?
How does Style Italiano Family help patients choose a dentist?
The Style Italiano Family network offers clear, validated profiles that help patients understand a dentist’s training, approach, and clinical principles. Each certified professional follows shared standards and continuous learning, making it easier to make informed decisions. With the Doc Locator, patients can confidently select a dentist aligned with Style Italiano Family values.
What makes a Style Italiano Family certified dentist different?
What makes a Style Italiano Family certified dentist different?
A Style Italiano Family certified dentist follows structured clinical methods, continuous education, and transparent communication. This approach ensures consistent, responsible care based on shared professional principles. Patients benefit from practitioners who remain updated, prepared, and aligned with a global network committed to clarity, precision, and long-term dental health.
How can I find a dentist in my area?
How can I find a dentist in my area?
You can easily find a dentist through the Style Italiano Family Doc Locator. This tool provides validated profiles, essential information, and clear details about each practitioner’s clinical background. It offers an accessible way to explore options nearby and select a certified professional who follows the Style Italiano Family approach.

This case highlights the value of a direct mock-up within a digital workflow to plan ceramic veneers. Through real-time visualization, functional assessment, and instant communication, the approach boosts patient acceptance and guides minimally invasive, enamel-preserving preparations for predictable esthetic results.

This case series highlights how preserving canines and focusing on only four anterior restorations can deliver harmony with minimal intervention. Through bleaching, precise enamel-based preparations, and high-quality ceramics, each smile achieves natural balance without overtreatment.

Composite build up protocols for complex class IV cavities with two shades – Tips & Tricks
By Ajay Juneja
This case shows how a controlled two-shade layering protocol can restore complex Class IV fractures with natural harmony. Through minimal reduction, strategic dentin–enamel build-up, and refined finishing, the restoration blends seamlessly, achieving stable esthetics while preserving valuable tooth structure.
Follow Us!
Stay connected with the Style Italiano® community and explore insights, clinical discussions, and updates shared by our global network.
Follow us on social media to discover stories, educational content, and valuable perspectives that help you navigate your dental choices with clarity and confidence.

@styleitalianofamily
Composite Bonding Before and After
Composite bonding is often used to correct minor fractures, close small spaces, or enhance tooth proportions. The teeth before after cases shown here illustrate how this treatment can deliver refined, natural-looking results when supported by accurate diagnosis and careful technique. Each transformation highlights a responsible approach to material handling and shape integration, essential aspects of predictable aesthetic outcomes. Viewing these teeth before after examples helps patients understand how minimal intervention can improve overall harmony. Certified Style Italiano Family dentists follow structured clinical principles that strengthen the consistency of these results, making composite bonding a reliable option for subtle, precise enhancements.
Root Canal Treatments Before and After
Root canal treatments aim to preserve natural teeth while restoring comfort and structural integrity. These teeth before after cases demonstrate how responsible endodontic care allows a tooth to remain functional over time. Each example reflects a process that prioritizes accurate diagnosis, careful cleaning, and methodical restoration. Viewing teeth before after outcomes helps patients understand the value of preserving natural structures whenever possible. Style Italiano Family certified dentists work within a shared clinical framework that supports clarity and consistency throughout treatment. These transformations provide a transparent look at how root canal procedures can contribute to long-term dental health while maintaining an aesthetically harmonious result.







